Лечение дефектов длинных костей конечностей

Результаты нашего лечения

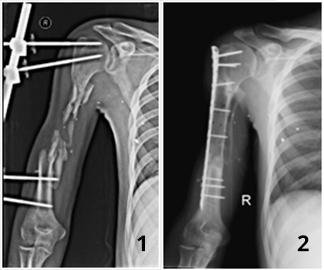
У парня в результате пулевого ранения образовался дефект правой плечевой кости на протяжении до 15 см. За помощью к нам обратился через 15 месяцев после ранения. До обращения проходил лечения в других лечебных учреждениях, где какой-либо помощи в восстановлении дефекта кости пациенту оказать не смогли.

Нами было проведено реконструктивно-восстановительное оперативное лечение с использованием клеточных технологий.

Через пол года в результате проводимого лечения целостность плечевой кости была восстановлена и пациент смог полноценно пользоваться конечностью.

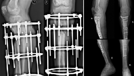
Мужчина обратился за помощью по поводу дефекта правой большеберцовой кости и укорочения правой голени до 17 см. Дефект большеберцовой кости образовался в результате ранения. Пациенту, в связи с невозможностью восстановить длину конечности было предложено выполнить ампутацию на уровне бедра.

Нами было проведено реконструктивно-восстановительное лечение, в котором были использованы клеточные технологии и метод Елизарова. В результате проводимого лечения дефект большеберцовой кости был замещен и восстановлена длинна конечности.

Через полтора года пациент смог пользоваться своей правой ногой.