Лікування дефектів довгих кісток кінцівок

Результати нашого лікування

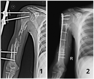
У хлопця в результаті кульового поранення утворився дефект правої плечової кістки на протязі до 15 см. За допомогою до нас звернувся через 15 місяців після поранення. До звернення проходив лікування в інших лікувальних установах, де будь-якої допомоги у відновленні дефекту кістки пацієнта надати не змогли.

Нами було проведено реконструктивно-відновне оперативне лікування з використанням клітинних технологій.

Через пів року в результаті проведеного лікування цілісність плечової кістки була відновлена ​​і пацієнт зміг повноцінно користуватися кінцівкою.

Чоловік звернувся за допомогою з приводу дефекту правої великогомілкової кістки та укорочення правої гомілки до 17 см. Дефект великогомілкової кістки утворився в результаті поранення. Пацієнту, у зв'язку з неможливістю відновити довжину кінцівки було запропоновано виконати ампутацію на рівні стегна.

Ми провели реконструктивно-відновне лікування, в якому були використані клітинні технології та метод Єлізарова. В результаті проведеного лікування дефект великогомілкової кістки був заміщений і відновлена ​​довжина кінцівки.

Через півтора роки пацієнт зміг користуватися своєю правою ногою.