Косметическая ортопедия

The results of our treatment

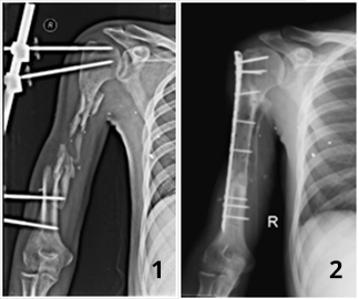
У пациента 26 лет в результате пулевого ранения образовался дефект правой плечевой кости на протяжении до 15 см (см. фото слева). За помощью обратился через 15 мес после ранения. До обращения проходил лечения в других лечебных учреждениях, где какой-либо помощи в восстановлении дефекта кости пациенту оказать не смогли. Нами было проведено реконструктивно-восстановительное оперативное лечение с использованием клеточных технологий. В результате проводимого лечения через 6 мес целостность плечевой кости была восстановлена (см. фото справа) и пациент смог полноценно пользоваться конечностью.

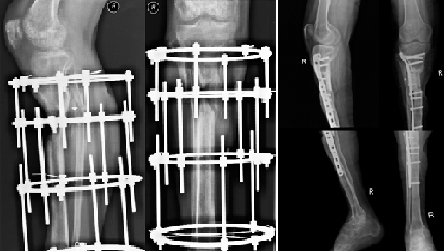
Пациент 37 лет обратился за помощью по поводе дефекта правой большеберцовой кости и укорочения правой голени до 17 см (см. фото слева). Дефект большеберцовой кости образовался в результате ранения. Пациенту, в связи с невозможностью восстановить длину конечности было предложено выполнить ампутацию на уровне бедра. Нами было проведено реконструктивно-восстановительное лечение, в котором были использованы клеточные технологии и метод Илизарова. В результате проводимого лечения дефект большеберцовой кости был замещен и восстановлена длинна конечности (см. фото справа).

Через 1,5 года пациент смог пользоваться своей правой ногой.