Лечение медиализации (смещение внутрь) и латерализации (смещение наружу) надколенника

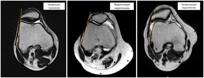
Медиализация (смещение внутрь) и латерализация (смещение наружу) надколенника – наиболее часто встречающееся осложнение дисфункции капсульно-связочного аппарата коленного сустава. Данное заболевание сопровождается незначительными болями и «хрустом» в области коленного сустава, которые возникают при сгибании коленного сустава и при длительном сидении с согнутыми в коленях ногами. Незначительные, вначале, боли со временем усиливаются, приобретают ноющий характер и стремление пациентов сидеть с вытянутыми (разогнутыми в коленях) ногами. Данное заболевание приводит к развитию артроза надколенниково-бедренного (пателло-феморального) сустава и значительному снижению качества жизни.

Дислокация (медиализация или латерализация) надколенника могут быть как врожденными, так и приобретенными. Врожденная дислокации надколенника обусловлена неправильным развитием собственной связки надколенника и неправильным формированием точки прикрепления этой связки, что приводит к нарушению оси скольжения надколенника по бедренной кости и его смещению. Приобретенная дислокация надколенника развивается в результате травм области коленного сустава, которые приводят к полному или частичному повреждению наружной или внутренней натягивающей связки надколенника. Обычно повреждения натягивающих связок надколенника не диагностируются, а боли проходят через 5-7 дней после травмы. Поврежденная связка срастается с формированием рубца, который со временем растягивается в результате чего нарушается равнодействие боковых сил, действующих на надколенник, и последний смещается или наружу, или во внутрь.

Читать далее ➝

Устранить дислокацию надколенника можно только оперативным путем. Выбор операции зависит от того врожденная это дислокация или приобретенная и определяется индивидуально для каждого пациента после тщательного обследования.