Лікування медіалізації (зміщення всередину) і латералізаціі (зміщення назовні) надколінка

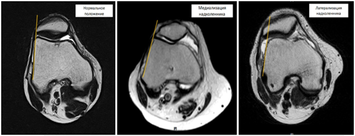
Медіалізація (зміщення всередину) і латералізація (зміщення назовні) надколінка — найчастіше ускладнення дисфункції капсульно-зв'язкового апарату колінного суглоба що зустрічається. Дане захворювання супроводжується незначними болями і «хрускотом» в області колінного суглоба, які виникають при згинанні колінного суглоба і при тривалому сидінні з зігнутими в колінах ногами. Незначні, спочатку, болі з часом посилюються, набувають ниючий характер і прагнення пацієнтів сидіти з витягнутими (розігнутими в колінах) ногами. Дане захворювання призводить до розвитку артрозу надколіноково-стегнового (пателло-феморального) суглоба і значного зниження якості життя.

Дислокація (медіалізація або латералізація) надколінка можуть бути як вродженими, так і набутими. Вроджена дислокації надколінка обумовлена неправильним розвитком власної зв'язки надколінника і неправильним формуванням точки прикріплення цієї зв'язки, що призводить до порушення осі ковзання надколінка по стегновій кістці і його зміщення. Набута дислокація надколінка розвивається в результаті травм області колінного суглоба, які призводять до повного або часткового пошкодження зовнішньої або внутрішньої натягуючої зв'язки надколінника. Зазвичай пошкодження натягуючих зв'язок надколінника не діагностуються, а біль проходять через 5-7 днів після травми. Пошкоджена зв'язка зростеться з формуванням рубця, який з часом розтягується в результаті чого порушується рівнодію бічних сил, що діють на надколінок, і останній зміщується або назовні, або всередину.

Читать далее ➝

Усунути дислокацію надколінка можна тільки оперативним шляхом. Вибір операції залежить від того вроджена це дислокація або набута і визначається індивідуально для кожного пацієнта після ретельного обстеження.